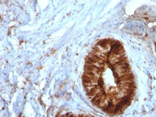
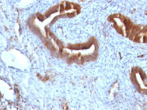
Beta-2 Microglobulin (Renal Failure & Tumor Marker) Antibody - With BSA and Azide
Mouse Monoclonal Antibody [Clone B2M/961 ]
- SPECIFICATION
- CITATIONS
- PROTOCOLS
- BACKGROUND

Application
| IHC, IF, FC |
|---|---|
| Primary Accession | P61769 |
| Other Accession | 567, 534255 |
| Reactivity | Human |
| Host | Mouse |
| Clonality | Monoclonal |
| Isotype | Mouse / IgG2b, kappa |
| Clone Names | B2M/961 |
| Calculated MW | 12kDa |
| Gene ID | 567 |
|---|---|
| Other Names | Beta-2-microglobulin, Beta-2-microglobulin form pI 5.3, B2M |
| Application Note | IHC~~1:100~500 IF~~1:50~200 FC~~1:10~50 |
| Storage | Store at 2 to 8°C.Antibody is stable for 24 months. |
| Precautions | Beta-2 Microglobulin (Renal Failure & Tumor Marker) Antibody - With BSA and Azide is for research use only and not for use in diagnostic or therapeutic procedures. |
| Name | B2M (HGNC:914) |
|---|---|
| Function | Component of the class I major histocompatibility complex (MHC). Involved in the presentation of peptide antigens to the immune system. Exogenously applied M.tuberculosis EsxA or EsxA-EsxB (or EsxA expressed in host) binds B2M and decreases its export to the cell surface (total protein levels do not change), probably leading to defects in class I antigen presentation (PubMed:25356553). |
| Cellular Location | Secreted. Cell surface. Note=Detected in serum and urine (PubMed:1336137, PubMed:7554280). {ECO:0000269|PubMed:7554280, ECO:0000269|Ref.6} |

Thousands of laboratories across the world have published research that depended on the performance of antibodies from Abcepta to advance their research. Check out links to articles that cite our products in major peer-reviewed journals, organized by research category.
info@abcepta.com, and receive a free "I Love Antibodies" mug.
Provided below are standard protocols that you may find useful for product applications.
Background
Recognizes a protein of 12kDa, identified as β-2 microglobulin. Major histocompatibility complex (MHC) class 1 molecules bind to antigens for presentation on the surface of cells. The proteasome is responsible for producing these antigens from the components of foreign pathogens. MHC class 1 molecules consist of an α heavy chain that contains three subdomains (α1, α2, α3) and a non-covalent associating light chain, known as β-2-Microglobulin. β-2-Microglobulin associates with the α3 subdomain of the α heavy chain and forms an immunoglobulin domain-like structure that mediates proper folding and expression of MHC class 1 molecules. The α1 and α2 domains of the α heavy chain form the peptide antigen-binding cleft. Mutations in the β-2-Microglobulin gene can enhance the progression of malignant melanoma phenotypes.
References
Josson, S., et al. 2011. β2-Microglobulin induces epithelial to mesenchymal transition and confers cancer lethality and bone metastasis in human cancer cells. Cancer Res. 71: 2600-2610. |
If you have used an Abcepta product and would like to share how it has performed, please click on the "Submit Review" button and provide the requested information. Our staff will examine and post your review and contact you if needed.
If you have any additional inquiries please email technical services at tech@abcepta.com.





Foundational characteristics of cancer include proliferation, angiogenesis, migration, evasion of apoptosis, and cellular immortality. Find key markers for these cellular processes and antibodies to detect them.
The SUMOplot™ Analysis Program predicts and scores sumoylation sites in your protein. SUMOylation is a post-translational modification involved in various cellular processes, such as nuclear-cytosolic transport, transcriptional regulation, apoptosis, protein stability, response to stress, and progression through the cell cycle.
The Autophagy Receptor Motif Plotter predicts and scores autophagy receptor binding sites in your protein. Identifying proteins connected to this pathway is critical to understanding the role of autophagy in physiological as well as pathological processes such as development, differentiation, neurodegenerative diseases, stress, infection, and cancer.








